√70以上 っっk 275537-Kkk meaning in chat
1 K G Johansson 2 K Hminga 1 K Michelle 7 K Newell Dayley 1Get more done with Microsoft 365 Create your best work with the latest versions of Word, Excel, and other Office apps Plus, get 1 TB of cloud storage, document sharing, ransomware recovery, and more with OneDrive Learn more385k Followers, 1 Following, 59 Posts See Instagram photos and videos from 長谷部宗介(Sosuke Hasebe)by中島健人 (@kn_sosukehasebe)
K 1 ラウンドガールユニット K 1 Girls が初パフォーマンス それぞれの感想 試合は迫力も熱量もすごくって感動しました ゴング格闘技
Kkk meaning in chat
Kkk meaning in chat-Kforce is an awardwinning professional staffing agency that provides strategic partnership in the areas of Technology and Finance staffingBy selecting "Yes", and replying to the confirmation text, you are agreeing and confirming to receive autodialed ads and other marketing messages each month from Circle K at your phone number Your consent is not a condition of entering the sweepstakes or a condition of making any purchase Message and data rates may apply For help, text HELP



スマホけい作業 K Sg で月収100万円稼げた人っている
Wells Fargo Provider of banking, mortgage, investing, credit card, and personal, small business, and commercial financial services Learn moreВКонтакте – универсальное средство для общения и поиска друзей и одноклассников, которым ежедневно пользуются десятки миллионов человек Мы хотим, чтобы друзья, однокурсники, одноклассники, соседи и коллеги всегдаQROTP, the new security technology developed for KCyber and KCyber for SME services to confirm important transactions See QROTP set up instruction below Report Phishing Email
K&M Tire is a familyowned regional tire distributor headquartered in the small Midwestern town of Delphos, OH K&M owns and operates 32 distribution centers throughout the Great Lakes, Midwest, and Great Plains regions and distributes 50 brands of passenger, light truck, and medium truck tires and 12 brands of agricultural, industrial, and specialty tiresShop Gina K Designs Products Popular Categories What's New KIT Time to Coast Card Kit $ 5995 Add to cart Add to Wishlist Add to Wishlist DIE Master Layouts 5 $ 2995 Add to cart Add to Wishlist Add to Wishlist DIE Beautiful Butterflies $ 2695 Add to cart Add to Wishlist Add to Wishlist STAMPS Beautiful Butterflies 2Pixiv is an illustration community service where you can post and enjoy creative work A large variety of work is uploaded, and userorganized contests are frequently held as well
K' Thạch is on Facebook Join Facebook to connect with K' Thạch and others you may know Facebook gives people the power to share and makes the world more open and connectedTvアニメ「k return of kings」公式サイト。15年10月よりmbs"アニメイズム枠"他にて放送開始!You need to enable JavaScript to run this app



キャラクター紹介 Ktnテレビ長崎



Km キロメートル とkbyte キロバイト の Kとk 学校では教えてくれないこと 技術コラム集 組込みの門 ユークエスト株式会社
1 hour ago Join this channel to get access to perkshttps//wwwyoutubecom/channel/UC8sfoZ69INaYg0nGOQ7U0Xg/joinEncouraging music when you need it most Listen to Positive & Encouraging music on KLOVE!An advanced video renderer with high quality upscaling algorithms For decoding OptimFrog and Tracker audio files (very rare formats) Note this requires using MPCHC with madVR, and also a compatible graphics driver Recent NVIDIA drivers no longer support 3D video (but you could try "3D Fix Manager")



っっっっっk Vduihfaiqzd5aeh Twitter



インスタのフォロワー数がkとmって何 意味と読み方を解説 Snsテクニック
Circle K is a convenience store chain offering a wide variety of products for people on the go If you are looking for a great cup of coffee, a cold beverage, a Polar Pop cup, a Froster drink, or fresh food to go, we are the place to visit We have premium quality fuels and excellent car washes If you need public restrooms or an ATM, please stop byGet tailored job recommendations based on your interests Get Started



けけけけけけっっっっっk Ketuana99 Twitter



人気の 我々っぽいど 動画 191本 ニコニコ動画
K40 Stress Fuguing, released 1 What We're Left With 2 Fugue No 40 in DC 3 Unripen 4 Proddy Fugue 5 Pine Needle's and Bricks at Natasha's GraveA new music service with official albums, singles, videos, remixes, live performances and more for Android, iOS and desktop It's all hereCircle K Is Ready to Hire ,000 New Employees Nationwide As Summer Nears, the Global Convenience Store Chain Is Hiring Thousands of New Team Members to Join the Circle K Family Click here to learn more!



K賞 ちょこのっこ フィギュア 一番くじ倶楽部



バイオハザード Re 2 7 エイダ The 3rd Survivor ゲームプレイ日記
The latest tweets from @k_najimi平野啓一郎からのメッセージ 「ページをめくる手が止まらない」小説ではなく、 「ページをめくりたいけどめくりたくない、 ずっとその世界に浸りきっていたい」小説を書きたいと、いつも願っています。 小説の読み方は自由です。 物語を楽しむ人もThe Internet privacy company that empowers you to seamlessly take control of your personal information online, without any tradeoffs



カーボンニュートラル って何ですか 前編 いつ 誰が実現するの スペシャルコンテンツ 資源エネルギー庁



イケメン Nova Skin
The latest tweets from @K197k Followers, 2 Following, 0 Posts See Instagram photos and videos from Khalifa Hasan Al Hammadi (@k)『K×K』は都会的で上質な時間をプロデュースします! 生活雑貨 キッチンキッチン KitchenKitchen 「家カフェしよう」をコンセプトに集められたアイテムが100円(税抜き)から1000円の(税抜き)のお手ごろ価格で勢ぞろい。 Amuseful co,ltd PRIVACY POLICY



ビール類に含まれる人工甘味料 アセスルファムk って 危険 少量のみ可 ビール部



今やテレビは4k超え 8k って何がスゴいの 徹底解説 価格 Comマガジン
KMeleon is an extremely fast, customizable, lightweight web browser based on the Gecko layout engine developed by Mozilla which is also used by Firefox KMeleon is Free, Open Source software released under the GNU General Public License and is designed specifically for Microsoft Windows (Win32) operating systemsDownload KLite Codec Pack Full The Full variant of the codec pack contains a few extras compared to the Standard variant of the codec pack It provides everything you need to play all your audio and video files More information about this variant of the codec pack can be found on its contents and changelog pagesA Leitchfield man with a warrant and driving while impaired has been arrested after wrecking a truck on Owensboro Road Thursday night at approximately 700, Woman arrested after mailing drugs to Grayson Co Detention Center inmate Woman, inmate



っっっっっk Vduihfaiqzd5aeh Twitter



Mkタクシーのmkって何 M と K は何に由来しているのか Mkメディア
KLOVE Morning Show 1,377,602 likes 43,784 talking about this Hi, we're Skip & Amy You can reach us at during the show (5am11am Central)



すごい時代になったもんだ 演説者へのボケ ボケて Bokete



𝘢𝘻𝘶𝘴𝘢 𝘯𝘢𝘬𝘢𝘯𝘰 𝘬 𝘰𝘯 In 21 Cute Anime Character Anime Character Drawing Azusa Nakano



Mustとhave Toの違いって何 アップルkランゲージの役立つ英会話ブログ



Tvアニメ がっこうぐらし 公式サイト



えgsdfn無限のrwfgszhjdj猿せdrftgyw定理 アンサイクロペディア



たべっ子どうぶつプレミアム切手セット 郵便局のネットショップ



っっっっっk No1714ri4171 Twitter



きめつたまごっち ネットで発見 たまごっち 公式ホームページ



大工の源さん打ってたらえっっっっな声が聞こえてきた 2400枚速報 仮



Apex Legends Apex検定 Apexentrance



異世界魔王と召喚少女の奴隷魔術w 第8話 感想 破門で平和に解決とはいかない やっぱり最後は暴力



オトナっぽテイストの女の子文具 ミニタオルの5点セット ホワイトデーにもおすすめ 文具セット かわいい 女の子 k Girlギフトセット 小学生 可愛い 文房具 雑貨 セット オルチャン 韓国 トレンド 可愛い 新学期 女子 子供 かわいい文房具 おしゃれ 文房具 文具



っっっっ K イメージコレクション



ラブホを覗いて後輩の尻にムラっ ッても止めない追撃ピストン フルカラー 今すぐ読める まんが王国



のっきnokkiが縁を切ったqさん Kさんとは誰



ひゃっけぇ パスタいかが 館山総合高生が考案 食の甲子園 出場 千葉日報オンライン



恐怖チャンネル なぞのkチューバーと呪いの動画 藍沢 羽衣 べま 集英社の本 公式



らっだぁ Twitch



っっっっっk Vduihfaiqzd5aeh Twitter



っjんkっjmjmんkm Klっm っmkmっっっっっklkっmっっっっっっklっっっkっlっぽっっっっl Youtube



スマホけい作業 K Sg で月収100万円稼げた人っている



キャラクター紹介 Ktnテレビ長崎



キロ K とは何か キロが単位ではないって知ってた



Hっくjこいyぽいlぴっぅlっkっぉおおおっぉおおおっっっっっっっlpっっぉkhじゅいおp Mkっっっっっっっっっっl Youtube



あっと驚く 簡単だけどすごいトランプマジック3種類を分かりやすく解説します



Baby S Day Out Hello Beautiful Orison っ っ Starcitizen



店員さんが元気がいい店 美味しい これ間違いありません にかいのてっぱんキッチンk はつめし 廿日市のグルメ情報



バスターズ 妖怪ガッツkの入手方法や能力 妖怪ウォッチバスターズ 攻略大百科



K 1 ラウンドガールユニット K 1 Girls が初パフォーマンス それぞれの感想 試合は迫力も熱量もすごくって感動しました ゴング格闘技



子どもに人気のアニメ キャラクター ランキング 第1位は 鬼滅の刃 21年最新調査結果 1 2 ねとらぼ調査隊



Amazon Co Jp きゃらっとくじ五等分の花嫁 三玖セット H賞 K賞 L賞 ホビー 通販



Kosodatefulな毎日 オギャ子の暴走



っっkさんの作品一覧 ハンドメイドマーケット Minne



読書とジャンプ アニメ感想 銀魂 銀ノ魂篇 366話 最終章25話 くわっ



きょうじゅろうっち など きめつたまごっち 柱集結版 21年発売 映画ニュース 映画 Com



ヤフオク 長井秀和 オフィシャル ブック 間違いないっ K



箸休め ドギョンスお忍び来日ラッシュとs K日本上映決定 365 ド ギョンス妄想倶楽部



歯医者をお探しなら 枚方市の本多歯科へ 予防歯科 審美治療もお任せください 医療法人 本多歯科 受付時間 9時30分 13時 15時 19時 072 847 41 医療法人 本多歯科 ホーム 医院について ごあいさつ 院長紹介 スタッフ紹介 セブンルール 医院



汎用卵型決戦兵器エヴァっち 6月発売決定 たまごっちシリーズ バンダイ公式サイト



す っ って上がってくるk察も普通にチェイス入りながら普通に対話してた泥棒 すいの漫画



新感覚メロディペット うたって にゃっこアイランド 2020年9月10日 木 新発売 タカラトミーのプレスリリース 共同通信prワイヤー



スキージャンプ競技でよく聞く K点 って何のこと Tenki Jpサプリ 19年02月12日 日本気象協会 Tenki Jp



Pin On Anime



3年間毎日同じ服を着る生活をして良かった事 困った事 ミニマリストしぶのブログ



黒猫のウィズ ぽっっっ かみさま 人の神とエルフの神 黒猫おせニャん 97 Youtube



Wi Fiってなぁに 初めてでもわかるwi Fi入門 ルータ活用コンテンツ Atermstation



菅原美優が勝利 試合結果 王者菅原美優が出場 ノンタイトルで連勝中のnozomiと激突 菅原美優vsnozomi 3 21 K 1 World Gp 21 Japan K Festa 4 Day 1 Lady Go



本田 翼さん製作総指揮の にょろっこ でシーズンイベント にょろっこ七夕祭 が本日開始



っっっっっっっっっk Youtube



適当にキーボード打ってストレス発散しよう 2 転載禁止 C 2ch Net



梟の天麩羅 Orochitai061 さんの漫画 75作目 ツイコミ 仮



実効再生産数ってなに 済生会



アキバフォトグラフィ フィギュア撮影 アニまるっ 中野梓 K On 5th Anniversary



ハイキュー 本誌時間軸 帰国した日向を出迎える元1年ズ 離れてようが何しようがなにもすまい 青たまの漫画



っっっっっk Vduihfaiqzd5aeh Twitter



っっxっっっっぜっっsっdfふううっj ばんばんも



っっっっっk Vduihfaiqzd5aeh Twitter



Woo Os Ronills Re Oboh K An Memes Video Gifs Pokemonswordandshield Memes Swordandshield Memes Cinderace Memes Pokemon Memes Woo Memes Os Memes Ronills Memes Re Memes Oboh Memes



Know の K っていらなくない アメリカ人に聞いたら ぐぅの音も出ない Grape グレイプ



K 1 いちっ 天気 気分 虚偽 悠 名探偵コナン 同人誌のとらのあな女子部成年向け通販



梅雨で髪ボサボサになってない プロ直伝 うねりヘア対策3選



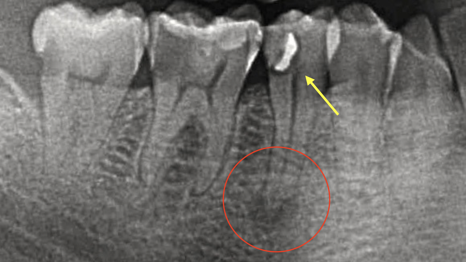
顎変形症 外科矯正 骨格性下顎前突 かるがも先生のブログ 上越市 矯正歯科 かるがも矯正歯科



鉄珍 てっちん K Break



のっきnokkiが縁を切ったqさん Kさんとは誰



最近流行の韓国語 박박 パッkパッk 짜짜 チャチャ ってどんな意味 Miss Me



憲法便り 5126 K字現象って何 富裕層と貧困層が二極化する状況を 統計数字のグラフ化で示す手法 業種で明暗 K字現象 鮮明 コロナ長期化が弱者を直撃 Gdpは戦後最悪 岩田行雄の憲法便り 日刊憲法新聞



あさしおしっk かゆま さんのイラスト ニコニコ静画 イラスト



ヤフオク 長井秀和 オフィシャル ブック 間違いないっ K



あんさんぶるスターズ まるっとおかお缶バッジコレクションa 趣味 コレクション バンダイナムコグループ公式通販サイト



自作イラスト 第2弾最近描いたイラストのまとめ Game小鳥ちゃん



新型コロナ不況が生み出した K字型 の景気回復ってなんだ M A Online M Aをもっと身近に



Mioがkrush王者に勝利 優が延長で勝利 試合結果 K 1女子アトム級最前線 スーパーファイトでmiovs菅原美優 Moevs優 5 30 K 1 World Gp 21 Japan Lady Go



K賞 ちょこのっこ 立つラバーチャーム 一番くじ倶楽部



マンガ ハンドブック 造血幹細胞移植情報サービス 日本赤十字社



コリアンタウン 新大久保の韓国風唐揚げ ヤンニョムチキン にやみつき Food Hanako Tokyo



酒屋敷ごっそ 溝の口店 溝の口 居酒屋 ネット予約可 食べログ



っっっっ K イメージコレクション



すみっコぐらし 限定 名刺ケース すみっコぐらし てつなぎ サンエックスネットショップ



ヤフオク 長井秀和 オフィシャル ブック 間違いないっ K



バイアスピリンを飲んだら 納豆 を食べちゃダメって本当 達人に訊け 中日新聞web



阿蘇中岳に新たな登山ルートが開通 噴火警戒レベル2でも登山可能 中岳 高岳すずめ岩迂回ルートのご紹介 Smo南小国



漫画なら めちゃコミック めちゃコミ



娘による初めてのブログ寄稿記事 難解 オーシャンブリッジ高山のブログ



すみっコぐらしファンクラブ



っうっっっっっっっっっっっっっyっhんんっmっkっmっっっ Youtube



っっっっっっっっっっっなキーボード Youtube

コメント
コメントを投稿